2024臨床助理醫(yī)師實踐技能考試模擬圖片鑒別-影像學
2024臨床助理醫(yī)師實踐技能考試沖刺倒計時,各位考生一定要抓住技能考試改革前的考試機會!正保醫(yī)學教育網(wǎng)幫考生整理了2024臨床助理醫(yī)師實踐技能模擬圖片鑒別-影像學,快來一起考前提分!

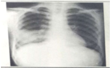
試題:男性,26歲,受涼后寒顫高熱,咳嗽,咳鐵銹色痰5天(2分)
A.肺癌
B.氣胸
C.正常胸片
D.肺炎
答案:D
聲明:本文為正保醫(yī)學教育網(wǎng)原創(chuàng)整理,轉載請注明來源正保醫(yī)學教育網(wǎng)
2024臨床助理醫(yī)師實踐技能考試不僅考察學員的理論知識掌握,更重要的是實際動手操作演練。各位考生一定要打好理論基礎,這樣才能在實際考試中做到心中不慌。醫(yī)學教育網(wǎng)推薦大家《技能特色班》,技能三站考點詳細解讀,配合實操技巧講解,讓你從理論+實操雙重解決技能備考難題。
相關推薦:
【速領】2024臨床執(zhí)業(yè)醫(yī)師實踐技能《考前終極預測資料包》,一分不少考場見!

學員討論(0)
相關資訊
- · 2025年臨床助理醫(yī)師準考證打印時間是幾號
- · 臨床助理醫(yī)師2025年什么時候考試的呢
- · 2025年臨床助理準考證打幾張啊
- · 內蒙古通遼2025年臨床助理醫(yī)師綜合筆試考生速看考點提醒!
- · 云南昆明2025年臨床助理醫(yī)師綜合筆試考生速看考前須知!
- · 江西省2025年臨床助理醫(yī)師綜合筆試考前須知|注意事項
- · 山西晉城2025年臨床助理醫(yī)師綜合筆試考生速看考前須知!
- · 湖北恩施州2025年臨床助理醫(yī)師綜合筆試考場安排|考生注意事項
- · 考生速看:江西宜春2025年臨床助理醫(yī)師綜合筆試考場安排
- · 江西贛州2025年臨床助理醫(yī)師綜合筆試考場安排|考前注意事項
















掃一掃立即下載


